El MAMMOMAT B.brilliant de Siemens Healthineers es un equipo de mamografía de última generación diseñado para elevar los estándares del diagnóstico por imágenes en salud mamaria. Este sistema introduce una nueva evolución en mamografía 3D y tomosíntesis digital, permitiendo a los especialistas obtener imágenes de alta precisión en menor tiempo, con mayor confianza clínica.
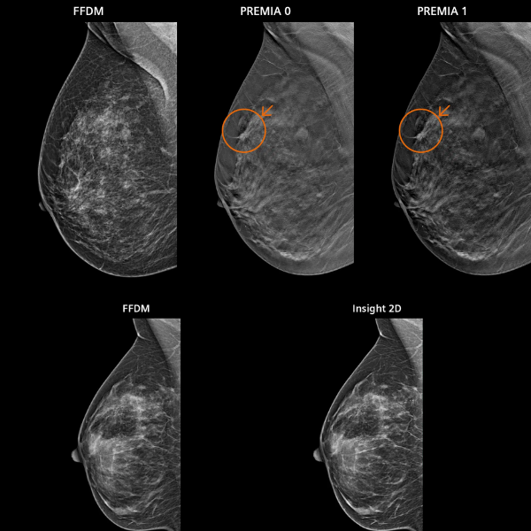
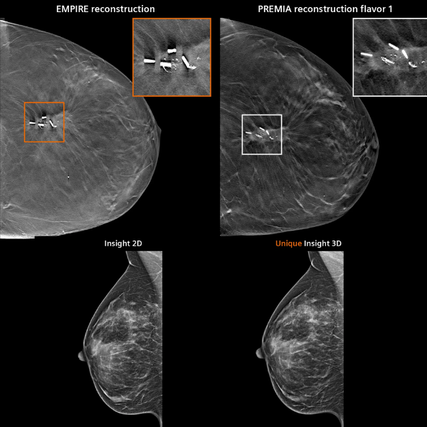
Gracias a la innovadora tecnología PlatinumTomo, el MAMMOMAT B.brilliant ofrece una adquisición avanzada de imágenes por tomosíntesis, mejorando la visualización de lesiones y reduciendo la superposición de tejidos. Su escaneo ultrarrápido, con tomosíntesis de gran angular de 50° en solo 5 segundos, optimiza el flujo de trabajo y mejora la comodidad de la paciente durante el estudio.
El sistema proporciona excelente resolución en plano y mayor definición en profundidad, con opciones de impresión de imagen personalizable según las necesidades clínicas. Su diseño ergonómico e interfaz intuitiva están pensados para maximizar la eficiencia del técnico radiólogo y la seguridad del paciente.
El MAMMOMAT B.brilliant se posiciona como una solución avanzada en mamografía 3D Siemens, ideal para la detección temprana del cáncer de mama mediante tomosíntesis digital, combinando innovación, velocidad y precisión diagnóstica.





